Schmidtke Smiles
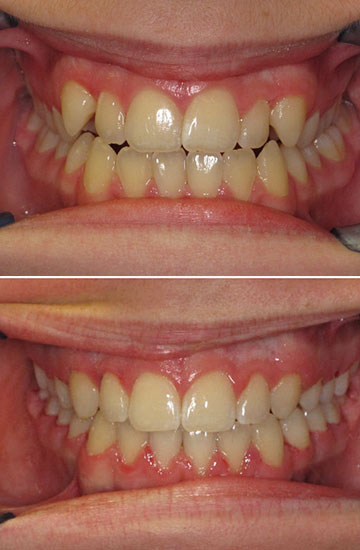
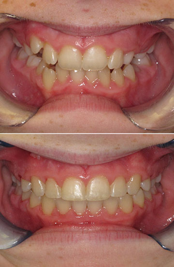
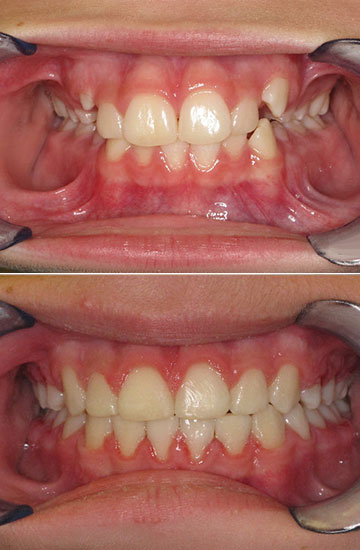
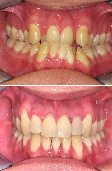
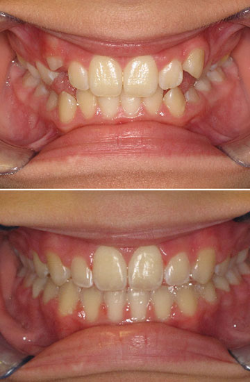
See the difference orthodontic treatment can make in a smile. Browse through some of the incredible smile transformations!






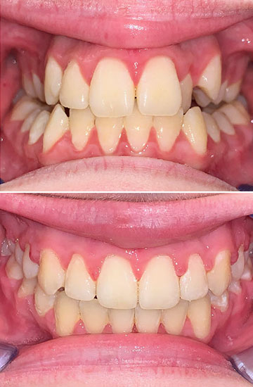
See the difference orthodontic treatment can make in a smile. Browse through some of the incredible smile transformations!





